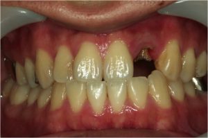
上前歯の側切歯が写真でわかるように折れていました(写真1)。

↑実際の写真1 上前歯の側切歯が写真でわかるように折れていました。
レントゲンで大きな病巣はありませんでしたので、抜歯と同時のインプラント埋入が可能と判断しました。
インプラント埋入後、約8週後のインプラントの写真です(写真2)。

↑実際の写真2 インプラント治療後、8週間目の状態です。
歯肉の状態もよく、セラミックのかぶせものをしました。
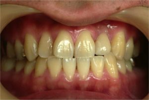
4年経ちましたが、大変良好な状態です(写真3)。

↑4年経過した状態ですが、歯の仕上がりの具合(色)もこの通りです。 セラミックの被せ物で、歯肉の状態も良好です。
